Offer Name: BEST SMILE
$4999 Orthodontic Treatment*
(conditions apply see below)
Creating your dream smile is now very affordable; book a free consult today to discover how. Modern state-of-the-art technologies and treatment objectives are focused on improving smiles with less cost.
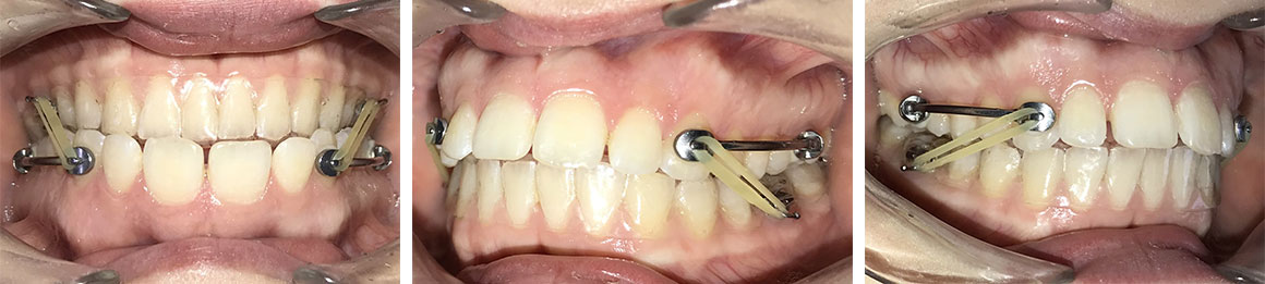
The modern “Sagittal First” orthodontic treatment protocol has revolutionised orthodontics by making it possible to treat most crooked teeth issues in around 12 months using the traditional metal braces or the no braces technologies.

This offer only applies to metal braces, if you would prefer the no braces treatment additional fees will apply. The latest braces technology will improve your smile and fix your bite problems too! Make a booking today for a free orthodontic consult to see which option is best for you.
CONDITIONS:
- Full payment is required upon acceptance of the treatment plan, or
- Pay $304.62/month over 15 months with a deposit of $1161.80 with a My Smile Plan payment plan
- Treatment will commence on or after Monday 08 October 2018
- Like the Fast Orthodontics Facebook page & Maloney Dental & Cosmetic Face Book page
- Share the BEST SMILE promotion on the Facebook page of Fast Orthodontics & Maloney Dental & Cosmetic page
OFFER INCLUDES:
- Complete course of orthodontic treatment with Carriere SLX metal braces
- All orthodontic adjustment/review appointments
- A Zendura® type retainer or fixed flat chain wire retainer at the end of treatment whichever is possible
- Orthodontic X-rays required which will be bulk billed through Medicare
- Gap Free dental exam (item number 011) and bitewing dental x-rays if required
OFFER DOES NOT INCLUDE:
- Complete course of orthodontic treatment with Carriere SLX metal braces
- All orthodontic adjustment/review appointments
- A Zendura® type retainer or fixed flat chain wire retainer at the end of treatment whichever is possible
- Orthodontic X-rays required which will be bulk billed through Medicare
- Gap Free dental exam (item number 011) and bitewing dental x-rays if required
Bite Correction Treatment (3-4 months)


Stay in Touch With Us!